
Funding Freeze and Communications Hold Create Confusion for U.S. Researchers
Researchers in the U.S. are grappling with Trump administration executive orders around health and science agency funding and communications.
Max Kozlov is a science journalist at Nature whose work has appeared in the Atlantic, Nature, Quanta Magazine and Science, among other publications.

Funding Freeze and Communications Hold Create Confusion for U.S. Researchers
Researchers in the U.S. are grappling with Trump administration executive orders around health and science agency funding and communications.

Inside the NSF’s Effort to Scour Research Grants for Violations of Trump’s Orders
The U.S. National Science Foundation has unfrozen grant funding, but it continues to scrutinize research projects, sowing turmoil

Trump Abruptly Cancels Crucial Science Reviews at NIH, World’s Largest Public Funder of Biomedical Research
President Trump has placed an indefinite suspension on research grant reviews and travel at the National Institutes of Health and appears to have erased diversity programming pages at the agency’s website

What Trump’s Blitz of Executive Orders Means for Science
After his second inauguration, President Donald Trump signed a host of executive orders, some with important implications for science

Health Research Could Face Severe Cuts and Changes under Trump
Sweeping reorganization and more research scrutiny could be on the way for the U.S. National Institutes of Health

The Virus That Causes Mpox Keeps Getting Better at Spreading in People
Analysis of a strain of the virus circulating in Central Africa shows genetic mutations indicative of sustained human-to-human spread

What a Kamala Harris Presidency Would Mean for Science
As the daughter of a cancer researcher, Kamala Harris would bring a lifelong familiarity with science to the presidency, experts say

Fauci Calls COVID Cover-Up Claim ‘Preposterous’
Congressional representatives grilled Anthony Fauci, former head of the U.S. National Institute of Allergy and Infectious Diseases, about the government’s early response to the COVID pandemic

Tiny Fern Has World’s Largest Genome
A small South Pacific fern boasts more than 50 times as many base pairs as the human genome

Memories Are Made by Breaking DNA — and Fixing It, Study in Mice Finds
Nerve cells form long-term memories with the help of an inflammatory response

Microplastics Linked to Heart Attack, Stroke and Death
People who had tiny plastic particles lodged in a key blood vessel were more likely to experience serious health problems or die during a three-year study

Artificial Womb Trials in Humans Could Start Soon
U.S. regulators will consider clinical trials of a system that mimics the womb, which could reduce deaths and disability for babies born extremely preterm

Should COVID Vaccines Be Given Yearly?
Some scientists say the U.S. Food and Drug Administration’s suggestion of updating COVID vaccines each year, as happens with influenza vaccines, could boost uptake. But others are less convinced

Fauci Responds to Musk’s Twitter Attack and Rates World’s COVID Response
Public health leader Anthony Fauci advises early-career researchers “not to be deterred” by vitriol

Which COVID Studies Pose a Biohazard?
Controversy surrounding a study that involved modifying SARS-CoV-2, the virus that causes COVID, has prompted researchers to call for better guidance from funders

Fungi Lurk Inside Cancers—And Might Speed Their Growth
Thousands of tumor samples provide the clearest link yet between cancer and fungi, but more research is needed

Does a Smallpox Drug Work for Monkeypox? What Scientists Know
The antiviral Tecovirimat (TPOXX) shows promise against monkeypox, but human data and supplies are limited

Scientists Reflect on Anthony Fauci’s Impact
From the AIDS epidemic to the COVID-19 pandemic, the iconic medical chief has advised seven presidents on numerous outbreaks

Monkeypox Outbreaks: 4 Key Questions Scientists Have
Researchers are racing to understand the latest monkeypox outbreaks—from their origins to whether they can be contained

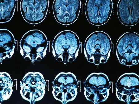
Your Brain Expands and Shrinks over Time: These Charts Show How
Researchers hope they could one day be used as a routine clinical tool by physicians.

The Controversial China Initiative Is Ending, and Researchers Are Relieved
The U.S. Department of Justice announced major changes to the espionage-protection program, but scientists hope for further acknowledgment of the damage done

New FDA Chief Will Face COVID Woes and Calls for Drug-Approval Reform
After long delay, U.S. President Joe Biden picks Robert Califf to once again head the U.S. Food and Drug Administration

How Do People Resist COVID Infections?
Immune cells might abort SARS-CoV-2 infection, forestalling a positive PCR or antibody test, a study in hospital workers suggests

Sponge Cells Hint at Origins of Nervous System
Synapse genes help cells to communicate in a sponge’s digestive chambers